Dental Aesthetics | Digital Impressions, Preventative Program and Digital Radiography

Dentistry Before and After Photos

Dental Aesthetics | Root Canals, Cosmetic Dentistry and Dental Cleanings

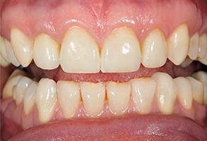
Before

Dental Aesthetics | Dental Cleanings, Dentures and Teeth Whitening

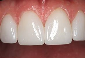
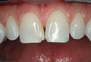
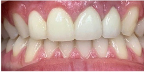
After

Dental Aesthetics | Night Guards, TMJ Disorders and Laser Dentistry

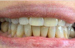
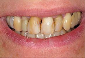
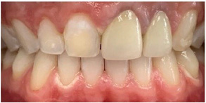
Before

Dental Aesthetics | Cosmetic Dentistry, Dental Cleanings and Teeth Whitening

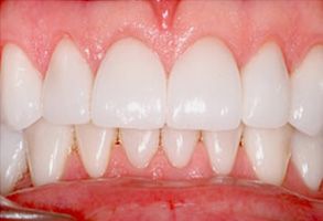
After

Dental Aesthetics | Root Canals, Cosmetic Dentistry and Dental Cleanings

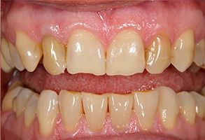
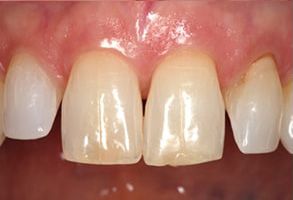
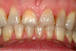
Before

Dental Aesthetics | Dental Cleanings, Dentures and Teeth Whitening

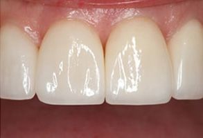
After

Dental Aesthetics | Night Guards, TMJ Disorders and Laser Dentistry

Before

Dental Aesthetics | Cosmetic Dentistry, Dental Cleanings and Teeth Whitening

After

Dental Aesthetics | Periodontal Treatment, TMJ Disorders and Dental Fillings

Before

Dental Aesthetics | Preventative Program, Digital Radiography and Night Guards

After

Dental Aesthetics | Oral Cancer Screening, Dental Fillings and Implant Dentistry

Before

Dental Aesthetics | Laser Dentistry, Implant Dentistry and Dental Fillings

After

Dental Aesthetics | Dental Cleanings, Sports Mouthguards and Emergency Treatment

Before

Dental Aesthetics | Sports Mouthguards, Implant Dentistry and Preventative Program

After

Dental Aesthetics | Implant Dentistry, Cosmetic Dentistry and Dental Fillings

Before

Dental Aesthetics | Sports Mouthguards, Sleep Apnea and Emergency Treatment

After

Dental Aesthetics | Sports Mouthguards, Dental Fillings and Snoring Appliances

Before

Dental Aesthetics | Extractions, Oral Exams and Dental Lab

After

Schedule a visit today!
Contact Us
Submit

Thank You!

We appreciate you taking the time to visit our site. We'll review your message and be in touch with you soon.

Continue
Dental Aesthetics | Periodontal Treatment, Cosmetic Dentistry and Preventative Program